Lima Perù
Resonancia Magnética en Surco, Lima
Nuestros Servicios

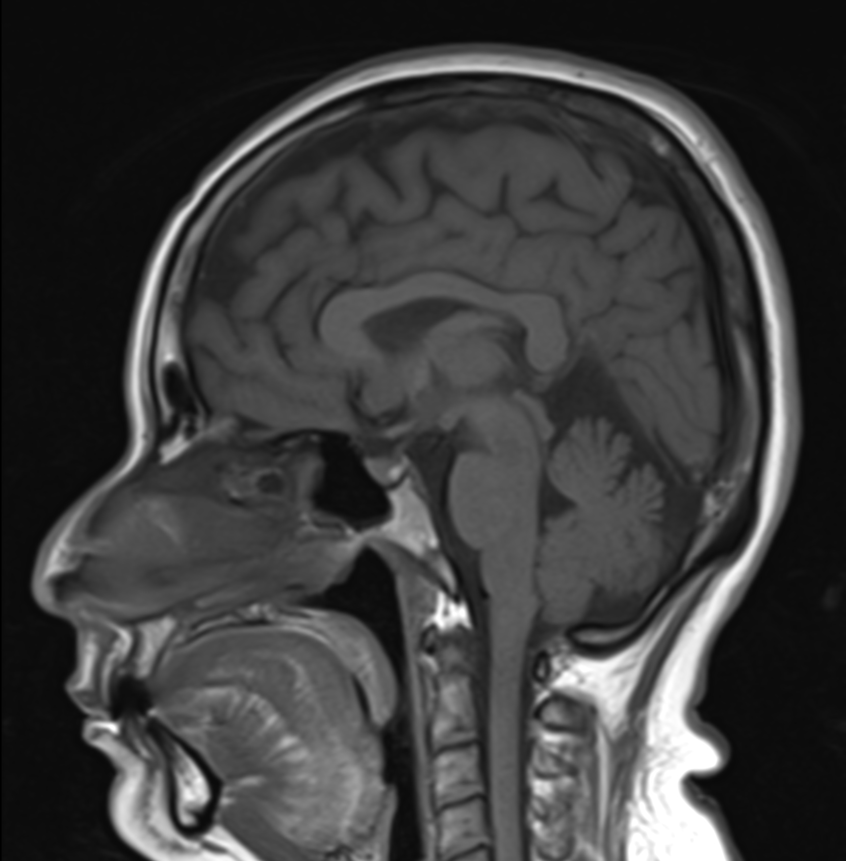
RM Cerebral
Nuestro examen resonancia magnética en el cerebro detecta, vigila enfermedades y trastornos como el sangrado de cerebro, anomalias congénitas, tumores(benignos, malignos) , la escleorosis múltiple, entre otros.

RM de columna lumbar
Nuestro examen de resonancia magnética en la zona lumbar detecta , vigila lesiones en huesos, ligamentos y sistema nervioso como la médula espinal. También diagnostica tumores, hemorragias, hinchazón, inflamaciones en las vértebras, etc.

RM de rodilla
Nuestro examen de resonancia magnética de rodilla detecta, vigila daños en el músculo, el cartílago o ligamentos de la rodilla. Tambien dolor de rodilla que no mejora y su inestabilidad.

RM de hombro
Nuestro examen de resonancia magnética detecta vigila desgarros, lesiones del bícep y daños en articulaciones.
Somos Scan Medic
En Scan Medic trabajamos con un Resonador Magnético cerrado de alto campo magnético 1.5T de Siemens, que nos permiten realizar estudios anatómicos con gran nitidez y de manera confortable, ideal para pacientes con problemas de sobrepeso, claustrofóbicos, ancianos y niños.
Instalaciones y Equipos
Lo que Opinan Nuestros Clientes
“Fui el día de hoy a hacerme una resonancia y muy atentos la recepcionista y el técnico! Los recomiendo! Los precios son accesibles también.»
“Execelente servicio y atención lo recomiendo y precios accesibles”
PREGUNTAS FRECUENTES
¿Cuáles son las medidas de bioseguridad con las que cuenta Scan Medic?
Protocolo de ingreso:
- Mantener al menos 1.5 metros de distancia entre persona y persona.
- En todo momento debes portar mascarilla (tapa boca) de manera obligatoria.
Nosotros Brindamos:
- Espacio para la limpieza de calzado.
- Aplicación de alcohol en gel en tus manos.
- Medición de temperatura.
- Cambio de mascarilla.
Indicaciones para el Paciente:
- Asistir de manera puntual a tu cita programada
- Se permite un acompañante por paciente en caso sea necesario
- Les obsequiaremos mascarillas para usarlas durante su permanencia.
- Evitar usar anillos, aretes, pulseras u otros elementos ya que son considerados reservorios para el virus.
- Se tomará la temperatura a todos los pacientes y acompañantes.
- No se permitirá el ingreso a pacientes y acompañantes con fiebre mayor a 37.5 ° o con síntomas de resfriado.
¿Es necesario llevar todos los estudios previos que tengo?
Si usted tiene exámenes previos de resonancia magnética, tomografías, ecografías, rayos x o biopsia relacionadas al examen que se va a realizar, es recomendable que los traiga consigo para incluirlos dentro de la evaluación de su estudio y de esta manera orientar mejor su informe y aportar más información al médico radiólogo.
¿Es un procedimiento doloroso?
El procedimiento no es doloroso en lo absoluto. Puede resultar un poco incómodo por tener que permanecer inmóvil, pero es el procedimiento más seguro en la medicina actual. Además el ruido que emite nuestro resonador es mínimo a diferencia de otros.
¿Qué debería hacer si soy claustrofóbico?
Contamos con 2 resonadores magnéticos, un resonador Siemens, Aera 48 de 1.5 T. resonador de última generación con uno de los túneles de exploración más grande del país y uno abierto marca Hitachi de 0.3T, ambos especiales para pacientes claustrofóbicos
¿Es necesario algún tipo de preparación?
Para una resonancia simple, no hay preparación previa, sin embargo le ofrecemos algunas recomendaciones que podrían ser útiles:
Acuda a su cita en ropa confortable, sin cierres metálicos, ni cualquier otro elemento metálico.
Si usted va a realizarse una resonancia de encéfalo debe asistir a su cita con el cabello seco.
En caso de que la resonancia sea con contraste y el paciente tenga más de 60 años deberá realizarse un examen de laboratorio previo de Urea y Creatinina.
¿Qué diferencia hay entre una Resonancia Magnética y Tomografía?
La tomografía es una técnica que utiliza radiaciones ionizantes para poder realizar el estudio, las cuales están demostradas que son dañinas para el organismo. En cambio la resonancia magnética no utiliza radiación, sino ondas magnéticas y se ha demostrado que no causa ningún efecto dañino al organismo.
¿Qué pasa con los objetos metálicos?
En la sala de resonancia no se puede entrar con ningún objeto metálico por lo que pueden producir artefactos que impidan la realización del estudio.
Deberá siempre comunicar al personal cualquier antecedente quirúrgico, donde exista una estructura metálica dentro del cuerpo.
La Resonancia no se puede realizar en pacientes portadores de: Marcapasos, clip de aneurisma, dispositivo auricular, Prótesis, Objetos metálicos.
¿Si soy gestante, puedo realizarme una resonancia?
Se puede realizar el estudio sin ningún problema ya que en este tipo de exámenes no se utiliza radiación.
No hay evidencia clínica que la resonancia magnética tenga efectos adversos o nocivos sobre el feto; sin embargo se recomienda que si hay necesidad de realizarla durante el primer trimestre de gestación la paciente sea evaluada previamente por un médico.
¿Cuál es la duración del examen?
Depende de muchos factores, área de estudio, número de secuencias, estudios simples o especiales, sin o con contraste, número de exámenes solicitados (aproximadamente 40 minutos).
¿Qué es la sustancia del contraste?
La sustancia de contraste es un líquido de administración endovenosa que en ciertos casos es necesaria para mejorar la búsqueda de algún problema específico o para mejorar el detalle de ciertas imágenes.
A diferencia del resto de sustancias de contraste usadas en radiología, la sustancia de contraste de resonancia magnética no contiene yodo. Sin embargo no está libre de las reacciones alérgicas asociadas, aunque son muy raras 1/1.000.000.
La aplicación de la sustancia de contraste es una decisión de carácter estrictamente médico.
eQUIPOS mODERNOS
PROFESIONAL
BUENOS PRECIOS
llámenos para consultas inmediatas
© Copyright 2023 – SCAN MEDIC
Desarrollado por: AVII PERÚ SAC